À propos de nous
Nous accompagnons les patients européens en quête de soins fiables, esthétiques et accessibles, pour retrouver le sourire en toute confiance.
Plus qu’une simple clinique, Smylea offre une expérience complète et personnalisée — de la première consultation jusqu’à votre retour chez vous.
Notre mission est d’accompagner les patients de France, de Belgique, d’Allemagne et de Suisse dans un parcours de soins fluide et rassurant :
- Consultation en ligne personnalisée
- Plan de traitement adapté
- Transfert VIP & hébergement inclus
- Expériences exclusives à Kayseri et en Cappadoce

Concentrez-vous sur votre sourire — nous nous occupons du reste.
Nos cliniques modernes, nos médecins certifiés et notre équipe de coordination multilingue garantissent une expérience sûre, transparente et agréable.

Smylea — Souriez en toute confiance, voyagez en toute sérénité.
Au-delà du traitement, une véritable expérience.
Nos services
Quels sont nos services ?
Des soins dentaires complets, adaptés pour créer votre sourire parfait.
Esthétique Dentaire

Esthétique Dentaire

L’esthétique dentaire vise à améliorer l’apparence, l’harmonie...

Cliquez pour les détails
Couronne Dentaire

Couronne Dentaire

La couronne dentaire est l’une des solutions les plus fiables ...

Cliquez pour les détails
Implant Dentaire

Implant Dentaire

L’implant dentaire est la solution la plus avancée et la plus ...

Cliquez pour les détails
Blanchiment Dentaire

Blanchiment Dentaire

Le blanchiment dentaire est l’un des traitements esthétiques l...

Cliquez pour les détails
Nos références
Happy Smiles
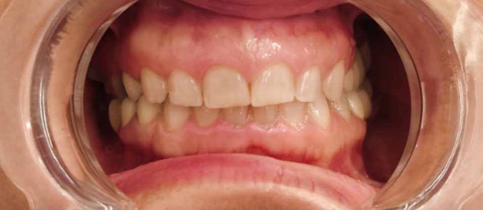
De vrais résultats. De vrais sourires.
AVANT
Before
APRÈS
After
AVANT
Before
APRÈS
After
AVANT
Before
APRÈS
After
AVANT
Before
APRÈS
After
AVANT
Before
APRÈS
After
AVANT
Before
APRÈS
After
Nous accompagnons les patients européens en quête de soins fiables, esthétiques et accessibles, pour retrouver le sourire en toute confiance.
Contact
-
info@smylea.com
-